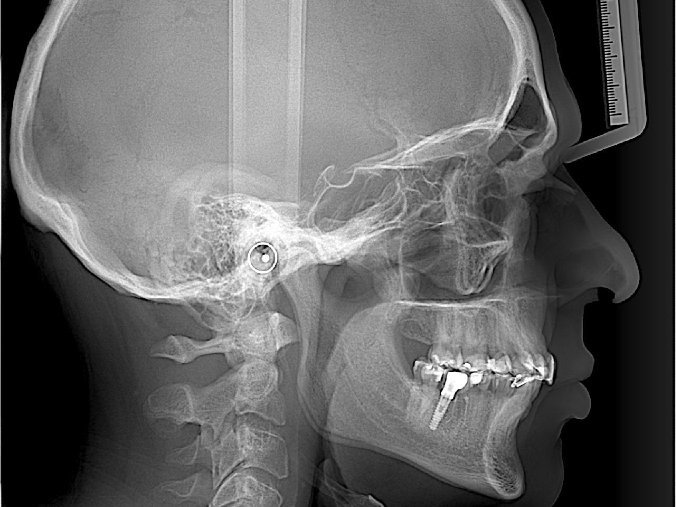
Más que un tomógrafo, una plataforma integral. Diseñado para cubrir todas las especialidades: Implantología, Endodoncia, Cirugía Maxilofacial, Ortodoncia y ATM.
Algoritmos de Procesamiento Avanzado:
Adapta la calidad a la necesidad clínica. Usa 75 micras (UHD) para visualizar conductos accesorios.
Desde 5x5 cm hasta 12x9 cm. El colimador automático ajusta el haz.
Una suite completa sin costos ocultos.
Descubre la potencia del Eagle 3D en acción.
La solución 2D definitiva. Equipada con Dos Sensores Dedicados para evitar el riesgo de caída al intercambiarlos.
Tecnología Fast Scan: Panorámicas en tiempo récord.
Enfoque Multislice: Rescata imágenes movidas.
Cortes Multislice
Disparo Ceph
Conoce el flujo de trabajo digital.


